Un estudio alerta de que los pacientes con coronavirus pueden tener problemas intestinales

Publicado en la revista 'Radiology', ha analizado a 412 pacientes ingresados del 27 de marzo al 10 de abril de 202P

12 may 2020 - 20:58
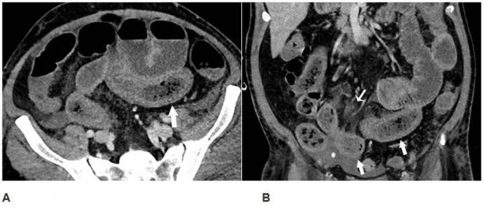
Anormalidades en el intestino de los pacientes con Covid-19
Anormalidades en el intestino de los pacientes con Covid-19

Un estudio llevado a cabo por investigadores del Hospital General de Massachusetts en Boston (Estados Unidos) han avisado de que los pacientes con Covid-19, la enfermedad que provoca el nuevo coronavirus, pueden tener problemas intestinales.

El estudio, publicado en la revista 'Radiology', ha analizado a 412 pacientes ingresados del 27 de marzo al 10 de abril de 2020, que dieron positivo por coronavirus, de los cuales 241 eran hombres (58.5%) y 171 mujeres, con una edad promedio de 57 años.

Se observaron anormalidades intestinales en el 31 por ciento de las tomografías computarizadas (3,2% de todos los pacientes) y fueron más frecuentes en pacientes ingresados en una Unidad de Cuidados Intensivos (UCI) que en otros pacientes hospitalizados. Los hallazgos intestinales incluyeron engrosamiento y hallazgos de isquemia tales como neumatosis (gas en la pared intestinal).

"Encontramos anormalidades intestinales en las imágenes en pacientes con Covid-19, especialmente en pacientes más graves ingresados en una UCI", han explicado los investigadores, quienes han informado de que la isquemia intestinal en algunos pacientes puede estar causada por coágulos sanguíneos pequeños.

"Los pacientes en la UCI pueden tener isquemia intestinal por otros motivos, pero sabemos que el Covid-19 puede provocar coagulación y lesiones en los vasos pequeños, por lo que el intestino también podría verse afectado por este virus", han apostillado los científico.

stats