“El peor momento de la pandemia” para este médico de Urgencias de Salamanca se ha producido esta semana

02 abr 2021 - 11:25
“El peor momento de la pandemia” para este médico de Urgencias de Salamanca se ha producido esta semana
“El peor momento de la pandemia” para este médico de Urgencias de Salamanca se ha producido esta semana

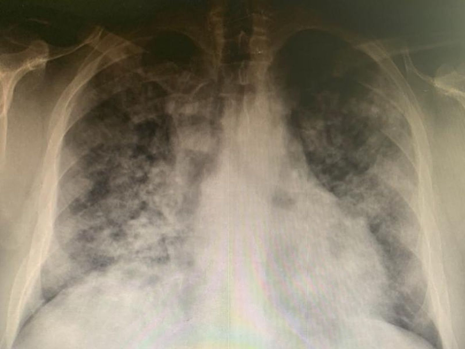
“A pesar de todo lo que llevamos ya, ayer pasé el peor momento de esta pandemia”. Así comienza su explicación en Twitter Jorge García Criado, médico de Urgencias del Hospital de Salamanca, que narra el caso de un paciente con COVID-19 que ha ingresado recientemente en la Unidad de Cuidados Intensivos del complejo sanitario.

Con 44 años y sin otras enfermedades, explica el doctor, este paciente llevaba seis días sintiéndose mal, y los últimos cuatro los había pasado con fiebre. Tras dar resultado positivo en COVID-19 en un test de antígenos, la temperatura no bajaba pese a seguir el tratamiento que le habían puesto.

Acudió a Urgencias con un 67 por ciento de saturación y 40 respiraciones por minuto, según ha detallado el doctor García Criado que, después de estabilizarlo, le comunicó que iba a ser trasladado a la UCI.

El doctor Jorge García Criado ha explicado cómo le comunicó a la mujer del paciente lo que le sucedía a su marido, las dudas de éste por si había acudido al Hospital demasiado tarde y que, además de utilizar siempre mascarilla, el afectado solo sale de casa para ir al trabajo.

“Cualquiera podemos ser Manuel o María”, asegura el doctor, en un intento por concienciar aún más a la población de la importancia de la pandemia. Se trata de los nombres ficticios que ha dado a los protagonistas de esta historia, y que han protagonizado también el peor momento de la crisis sanitaria para este doctor.

stats